マイクロスコープを使った精密治療
お口元の「美」を創造します

- 芸能人と見間違う白い歯をお求めの方
- 天然歯と相性のいい歯をお望みの方
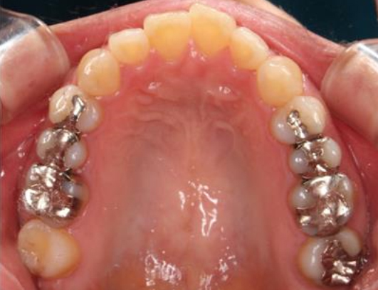
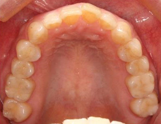
銀歯の詰め物・被せ物を、e-maxのインレーやクラウンに置き換えた症例。
お電話でのご予約 0467-55-5204 ※ Web予約で空きがない場合も対応できる場合がございます。お急ぎの場合はお電話ください

マイクロスコープを使った精密治療



銀歯の詰め物・被せ物を、e-maxのインレーやクラウンに置き換えた症例。

セラミック治療は、歯やお口元を美しくする治療です。
しかし、歯は、単に美しければいいというものではありません。寒川駅前ファースト歯科のセラミック治療では、「美しく、しっかり噛める歯」を提供します。
当院の取り組みをご紹介します。

患者さんが理想とするお口元を実現するために、治療の各段階でイメージをすり合わせます。

実際に治療を始める前に入念にカウンセリングを行い、患者さんが理想とするお口元のイメージを伺います。歯の色のサンプル、模型を参考にしながら、具体的なイメージを共有します。

患者さんの歯型を取り、患者さんの歯並びを再現した模型を作製します。模型を使って、歯の形の具体的なイメージを確認します。イメージ通りの形状ができたら、次は仮歯を作り、お口に合わせて調整を行います。

セラミックの被せ物を装着するため、歯を削る必要があります。多くの歯科医院では、被せ物に合わせて歯を大きく削るため、神経を取ることが多いのですが、神経を取ると歯の寿命が短くなってしまいます。
これを防ぐため、当院では、可能な限り削る量を抑え、神経を残して治療を行います。
セラミック製の詰め物・被せ物には、さまざまな素材があります。当院では、審美性に優れ、体にも優しい素材を使用しています。素材の一部をご紹介します。

ガラス系のセラミック素材です。歯に近い透明感があり、自分の歯と同じような美しさが特徴です。汚れを弾くため、虫歯や歯周病になりにくく、変色もしにくいというメリットもあります。

「人工ダイヤモンド」とも呼ばれるほど強度に優れたセラミック素材で、食いしばりの強い部分にも対応できるセラミック素材です。見た目も自分の歯に近い自然な美しい仕上がりになります。汚れを弾くため、虫歯や歯周病にもなりにくく、変色もしにくいです。

強度に優れた「ジルコニア」を使ったセラミック素材です。グラデーションブロックを削り出して作るので、審美性にも優れています。

「ジルコニア」を使ったセラミック素材です。単色のセラミックブロックを削り出して作るので、審美性はプレミアウムやハイクォリティに劣りますが、耐久性が強く、食いしばりの強い部分にも使用できます。

寒川駅前ファースト歯科クリニックでは、すべての治療で「マイクロスコープ」を積極的に活用しています。肉眼に比べて十数倍に拡大された視野で患部を見られるので、治療の精度が飛躍的に高まります。

「美しい見た目をできるだけ早く手に入れたい」というのは一般的なご要望だと思います。それを実現するために、当院では以下の取り組みを行っています。

テクノロジーの進歩により、セラミックの詰め物や被せ物をコンピューター制御(CAD/CAM)で製作できるようになりました。これにより、短期間で詰め物や被せ物を作成し、加えて人件費も削減可能なため、よりお求めやすい価格を実現しました。


高性能な合成樹脂(プラスチック)である「コンポジットレジン」を用い、お口の中で歯の形を直接作り修復する治療法「ダイレクトボンディング」が確立されています。
コンポジットレジン自体は以前から存在していましたが、かつてのものは2~3年で劣化し、変色や経年劣化のため虫歯菌が隙間から入り込み、再び虫歯を引き起こすなどの問題がありました。そのため、保険治療では安価な材料として扱われていました。
ですが、近年の各歯科材料メーカーの研究の成果で、クオリティが向上し、強度や審美的な面でもいっそう自然な仕上がりが可能になりました。
さらに、用途も広がり、ひび割れ、欠損、すきっぱ、ホワイトスポットなどにも適用されています。

ネックレスや指輪などの金属アクセサリーを身につけると、かゆくなったり、湿疹ができることがあります。このような症状がある場合、「金属アレルギー」が起きている可能性があります。
金属アレルギーの原因はさまざまですが、歯医者の治療で入れた「銀歯」が症状を引き起こすことがあります。
このような症状に心当たりがあれば、銀歯が引き起こした金属アレルギーかもしれません。放置すると、アトピー性皮膚炎や自己免疫疾患などに発展する危険性があります。銀歯を、非金属系素材の詰め物や被せ物に置き換えることで、症状の改善が期待できます。
当院では、金属アレルギーを確認するテストも行っています。
気になる方は、お気軽にご相談ください。

白い被せ物というと、自費診療になるので費用がかかるというイメージがあると思います。
しかし、現在では保険診療でも「CAD/CAM冠」という白い被せ物が作れます。従来は、保険が適用される歯に制限があったのですが、2023年12月の法改定によって、すべての歯が保険適用の対象となりました。
CAD/CAM冠には、次のようなメリットがあります。
しかし、デメリットもあります。
特に耐久性については、難があります。多くの場合、数年で割れてしまい、再治療が必要となります。このため、噛む力がかかりやすい部分にはお勧めできません。
当院は、CAD/CAM冠の治療に対応しています。ご興味のある方は、お気軽にお問い合わせください。
当院では、患者さんが抱えていらっしゃるお口のお悩みや疑問・不安などにお応えする機会を設けております。どんなことでも構いませんので、私たちにお話ししていただけたらと思います。
ご興味がある方は下記からお問い合わせください。